Conheça as causas, tratamento e como as placas ajudam a proteger seus dentes do bruxismo
Entenda o que leva ao bruxismo, se ele tem cura e como escolher a placa ideal para ação preventiva e corretiva
O bruxismo, distúrbio caracterizado pelo hábito involuntário de apertar ou ranger os dentes, pode ocorrer tanto durante o sono (bruxismo do sono) quanto em vigília (quando se está acordado). O reconhecimento precoce e o tratamento apropriado são essenciais para evitar desgaste dentário, dores na musculatura mastigatória, articulações e outras complicações.
O processo requer atenção e tratamento caso apareça — não apenas para aliviar sintomas, mas para evitar consequências de longo prazo. Embora não se possa garantir a “cura” em todos os casos, com diagnóstico correto, mudança de hábitos, controle de estresse e uso adequado de placas oclusais, é possível controlar o problema, proteger a dentição e recuperar o bem-estar. A escolha adequada do tipo de placa, bem como o acompanhamento odontológico contínuo, são peças-chave para um resultado satisfatório.
“Muitos pacientes só descobrem que têm bruxismo quando já apresentam dores ou desgaste nos dentes. O uso da placa, aliado a mudanças de hábito e controle do estresse, pode trazer uma melhora significativa na qualidade do sono e na saúde bucal”, afirma Dr. Paulo Zahr, sócio-fundador da OdontoCompany.
As principais causas associadas ao bruxismo envolvem múltiplos fatores, muitas vezes interligados, como por exemplo:
- estresse e ansiedade: situações de tensão emocional, pressão no trabalho, preocupações constantes favorecem a manifestação do hábito de apertar ou ranger os dentes;
- hábitos parafuncionais: como mastigar objetos, morder lábios ou bochechas, ranger os dentes durante o dia — estes podem predispor à atividade excessiva da musculatura mastigatória;
- má-oclusão e alterações dentárias ou articulares: desalinhamentos dentários, discrepâncias na mordida, problemas na articulação temporomandibular (ATM) podem funcionar como desencadeantes ou agravantes do bruxismo;
- sono de má qualidade ou apneia do sono: pacientes com distúrbios do sono podem apresentar maior propensão ao bruxismo durante a noite;
- fatores genéticos ou biológicos: alguns estudos apontam para predisposição familiar ou fatores neurofisiológicos que tornam certas pessoas mais vulneráveis ao bruxismo;
- uso de substâncias ou medicamentos: Em alguns casos, o uso de álcool, cigarros ou determinados medicamentos pode influenciar o aparecimento ou agravamento do bruxismo.
Esses fatores podem atuar isoladamente ou em conjunto. Portanto, identificar quais condições estão presentes no paciente é essencial para traçar um plano de tratamento eficaz.
Bruxismo tem cura?
Embora seja possível controlar o bruxismo e reduzir significativamente seus efeitos adversos, a “cura” no sentido de eliminar totalmente o hábito ou a predisposição nem sempre seja viável, especialmente se persistirem os fatores desencadeantes (como estresse, má-oclusão ou sono alterado). O tratamento envolve uma abordagem multidisciplinar: odontológica, psicológica e de hábitos de vida.
Com o acompanhamento adequado, pode-se alcançar: redução do ranger ou apertar dos dentes; alívio de dores associadas (musculatura da mastigação, ATM, cabeça, pescoço); proteção dos dentes contra desgaste e fraturas; e melhora da qualidade do sono e bem-estar geral.
Mas é importante destacar que manter mudanças de hábito, controle de estresse e acompanhamento odontológico são condições para resultados duradouros.
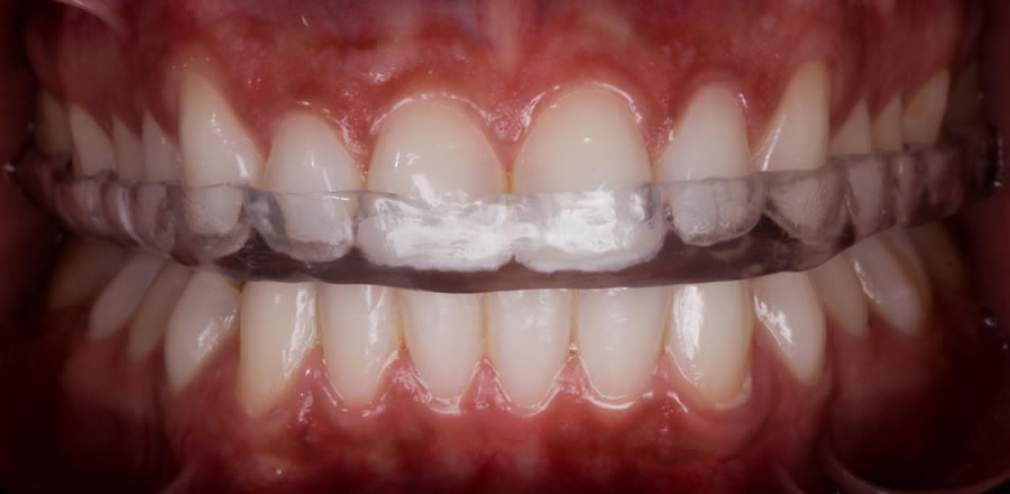
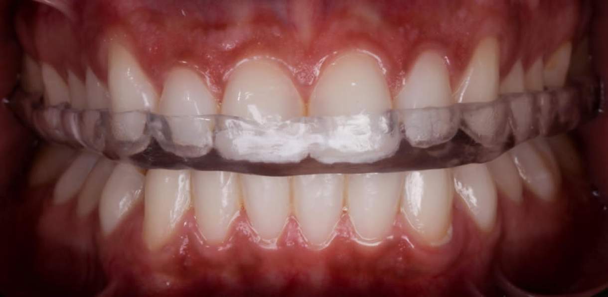
O tratamento, na maioria dos casos, é realizado com o auxílio das placas interoclusais (ou miorrelaxantes) que são placas rígidas ou flexíveis, que encaixam nos dentes e evitam o contato direto entre eles. Na prática, impedem o contato entre os dentes superiores e inferiores, além de alterar o padrão muscular anômalo envolvido neste tipo de situação (apartamento ou ranger ).
Benefícios gerais das placas no bruxismo
- Protege o esmalte dentário e a dentina de atrito e fraturas.
- Diminui o estresse funcional na musculatura de mastigação, melhorando o conforto ao acordar.
- Reduz as cargas excessivas na ATM, contribuindo para prevenção ou alívio de dor articular.
- Facilita o diagnóstico e a monitorização da evolução do bruxismo — por exemplo, se os sintomas persistem mesmo com placa, isso pode indicar que outro fator desencadeante precisa ser tratado.
- Proporciona uma melhora da qualidade de vida do paciente, com sono mais tranquilo e menos reflexos no dia seguinte (cansaço, dores de cabeça, mandíbula intrigada).
Compartilhe:: Participe do GRUPO SEGS - PORTAL NACIONAL no FACEBOOK...:
https://www.facebook.com/groups/portalnacional/
<::::::::::::::::::::>
IMPORTANTE.: Voce pode replicar este artigo. desde que respeite a Autoria integralmente e a Fonte... www.segs.com.br
<::::::::::::::::::::>
No Segs, sempre todos tem seu direito de resposta, basta nos contatar e sera atendido. - Importante sobre Autoria ou Fonte..: - O Segs atua como intermediario na divulgacao de resumos de noticias (Clipping), atraves de materias, artigos, entrevistas e opinioes. - O conteudo aqui divulgado de forma gratuita, decorrem de informacoes advindas das fontes mencionadas, jamais cabera a responsabilidade pelo seu conteudo ao Segs, tudo que e divulgado e de exclusiva responsabilidade do autor e ou da fonte redatora. - "Acredito que a palavra existe para ser usada em favor do bem. E a inteligencia para nos permitir interpretar os fatos, sem paixao". (Autoria de Lucio Araujo da Cunha) - O Segs, jamais assumira responsabilidade pelo teor, exatidao ou veracidade do conteudo do material divulgado. pois trata-se de uma opiniao exclusiva do autor ou fonte mencionada. - Em caso de controversia, as partes elegem o Foro da Comarca de Santos-SP-Brasil, local oficial da empresa proprietaria do Segs e desde ja renunciam expressamente qualquer outro Foro, por mais privilegiado que seja. O Segs trata-se de uma Ferramenta automatizada e controlada por IP. - "Leia e use esta ferramenta, somente se concordar com todos os TERMOS E CONDICOES DE USO".
<::::::::::::::::::::>

Adicionar comentário